CD38 Monoclonal Antibody
-
中文名稱:CD38鼠單克隆抗體
-
貨號:CSB-MA785760
-
規格:¥1320
-
圖片:
-
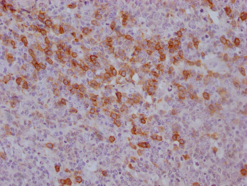
IHC image of CSB-MA785760 diluted at 1:100 and staining in paraffin-embedded human tonsil tissue performed on a Leica BondTM system. After dewaxing and hydration, antigen retrieval was mediated by high pressure in a citrate buffer (pH 6.0). Section was blocked with 10% normal goat serum 30min at RT. Then primary antibody (1% BSA) was incubated at 4°C overnight. The primary is detected by a Goat anti-mouse IgG polymer labeled by HRP and visualized using 0.05% DAB.
-
-
其他:
產品詳情
-
產品描述:CD38單克隆抗體(CUSABIO貨號:CSB-MA785760)是一款針對人源CD38靶點的高特異性科研試劑,適用于ELISA和免疫組化(IHC)實驗。CD38作為II型跨膜糖蛋白,屬于ADP-核糖酸基轉移酶家族成員,廣泛表達于T細胞、B細胞及自然殺傷細胞等免疫細胞表面,在細胞信號傳導、鈣離子代謝及免疫調控中發揮關鍵作用,尤其在多發性骨髓瘤等腫瘤研究中具有重要價值。本產品采用雜交瘤技術制備,經嚴格驗證具有高親和力與特異性,可精準識別CD38的胞外結構域表位,適用于人源組織樣本檢測。其1mg/ml濃度設計便于實驗體系靈活配置,建議保存于2-8℃短期或-20℃長期環境以維持穩定性。在科研領域,該抗體可應用于免疫細胞表型分析、腫瘤微環境研究及CD38介導的信號通路機制探索,為免疫學、腫瘤生物學及靶向治療基礎研究提供可靠工具。通過優化檢測條件,可實現對石蠟包埋組織切片或細胞樣本中CD38蛋白的準確定位與半定量分析,助力科研人員深入解析CD38在疾病發生發展中的分子作用機制。
-
產品名稱:Mouse anti-Homo sapiens (Human) CD38 Monoclonal antibody
-
Uniprot No.:
-
基因名:
-
別名:CD38; ADP-ribosyl cyclase/cyclic ADP-ribose hydrolase 1; 2'-phospho-ADP-ribosyl cyclase; 2'-phospho-ADP-ribosyl cyclase/2'-phospho-cyclic-ADP-ribose transferase; 2'-phospho-cyclic-ADP-ribose transferase; ADP-ribosyl cyclase 1; ADPRC 1; Cyclic ADP-ribose hydrolase 1; cADPr hydrolase 1; T10; CD antigen CD38
-
宿主:Mouse
-
反應種屬:Human
-
免疫原:Synthesized peptide derived from human CD38
-
免疫原種屬:Homo sapiens (Human)
-
標記方式:Non-conjugated
-
克隆類型:Monoclonal
-
抗體亞型:IgG1, Kappa
-
純化方式:The antibody was affinity-purified from mouse ascites by affinity-chromatography using specific immunogen.
-
克隆號:9E8
-
濃度:It differs from different batches. Please contact us to confirm it.
-
保存緩沖液:Liquid in PBS containing 50% glycerol, 0.5% BSA and 0.02% sodium azide.
-
產品提供形式:Liquid
-
應用范圍:ELISA, IHC
-
推薦稀釋比:
Application Recommended Dilution IHC 1:20-1:200 -
Protocols:
-
儲存條件:Upon receipt, store at -20°C or -80°C. Avoid repeated freeze.
-
貨期:Basically, we can dispatch the products out in 1-3 working days after receiving your orders. Delivery time maybe differs from different purchasing way or location, please kindly consult your local distributors for specific delivery time.
-
用途:For Research Use Only. Not for use in diagnostic or therapeutic procedures.
相關產品
靶點詳情
-
功能:Synthesizes the second messengers cyclic ADP-ribose and nicotinate-adenine dinucleotide phosphate, the former a second messenger for glucose-induced insulin secretion. Also has cADPr hydrolase activity. Also moonlights as a receptor in cells of the immune system.
-
基因功能參考文獻:
- CD38 and cADPR are key players in the orches- tration of cellular responses to respiratory syncytial virus by infected monocyte-derived dendritic cells. PMID: 29178427
- our data are consistent with the conclusion that CD38 plays a role in murine and human lung tumorigenesis PMID: 29228209
- isatuximab decreases multiple myeloma cell- and bone marrow stromal cell-induced iTreg by inhibiting both cell-cell contact and TGFbeta/IL10. Finally, CD38 levels correlate with differential inhibition by isatuximab of Tregs from multiple myeloma versus normal donors.Targeting CD38 by isatuximab can preferentially block immunosuppressive Tregs and thereby restore immune effector function against multiple myeloma PMID: 28249894
- Empathic response mediates the CD38-altruism association. PMID: 28865941
- Increased levels of HLADR and CD38 expressions in peripheral blood were associated with oral lesions in HIV-positive patients. Periodontal disease was associated with HLADR expression. PMID: 28500735
- Panobinostat increased CD38 expression in a dose-dependent manner in primary myeloma cells. This was specific for myeloma cells and did not occur in lymphoma cell lines. This increase enabled the antimyeloma activity of daratumumab. PMID: 28476749
- To demonstrate the therapeutic effect of daratumumab in CLL, we generated a disseminated CLL mouse model with the CD38(+) MEC2 cell line and CLL patient-derived xenografts (CLL-PDX). Daratumumab significantly prolonged overall survival of MEC2 mice, completely eliminated cells from the infiltrated organs, and significantly reduced disease burden in the spleen of CLL-PDX PMID: 27637890
- CD38 mRNA levels were correlated with lower Autism Quotient (AQ), indicating enhanced social skills. CD38 expression and CD157 eQTL SNPs altogether account for a substantial 14% of the variance in sociality. the ecological validity of these findings was demonstrated with subjects with higher PBL CD38 expression having more friends, especially for males. PMID: 28212520
- CD38(lo) luminal cells are enriched in glands adjacent to inflammatory cells and exhibit epithelial nuclear factor kappaB (NF-kappaB) signaling. In response to oncogenic transformation, CD38(lo) luminal cells can initiate human prostate cancer in an in vivo tissue-regeneration assay PMID: 27926864
- Results provide evidence that CD38 enhanced the proliferation and inhibited the apoptosis of cervical cancer cells by affecting the mitochondria functions. PMID: 28544069
- these data demonstrate an important role for CD38 and complement-inhibitory protein expression levels in daratumumab sensitivity. PMID: 27307294
- Results may imply that CD38 expression either reflects or participates in pathogenic mechanisms of HIV disease independently of cell cycling. PMID: 27064238
- The data suggest that ZO-1, along with CD38 and Zap-70, plays a role in cell cycle regulation in chronic B cell leukemia, and may be used as a prognostic marker in the disease monitoring. PMID: 26306999
- Primary human melanoma cell lines suppress in vitro T cell proliferation through an adenosinergic pathway in which CD38 and CD73 play a prominent role. PMID: 26329660
- CD38 and its related genes are highly expressed in human nasopharyngeal carcinoma cell lines. PMID: 25630761
- soluble CD38 (sCD38) in seminal plasma increases the capacitation of sperm via specific interactions between sCD38 and the CD31 on the sperm. PMID: 26407101
- the expression of CD38+ on both CD4+, CD8+T lymphocytes from peripheral blood and CSF discriminated between viremic and non-viremic patients PMID: 26365593
- study points to an association between maternal SNPs in the CD38 in Japanese women and susceptibility to preterm birth. PMID: 26025338
- Peripheral blood CD38 bright CD8+ effector memory T cells predict acute graft-versus-host disease. PMID: 25881755
- CD38 is expressed on human MDSC-like cell population that is expanded in the peripheral blood of advanced-stage cancer patients. PMID: 26294209
- Upregulation of CD38 expression on multiple myeloma cells by all-trans retinoic acid improves the efficacy of daratumumab. PMID: 25975191
- Genetic variation in CD38 and breastfeeding experience interact to impact infants' attention to social eye cues. PMID: 26371313
- genetic polymorphism is associated with diffuse large B-cell lymphoma susceptibility in Egyptians PMID: 25564959
- Hairy-cell leukemia patients that were CD38-positive had a shorter mean time to salvage therapy than CD38-negative ones. CD38 expression in HCL drives poor prognosis by promoting survival and heterotypic adhesion. PMID: 26170397
- alterations in content of soluble molecules CD38 are associated with characteristics of tumor process that indicates at their monitoring significance under malignant neoplasms of uterus PMID: 26470437
- The results indicate that the net charge of the N-terminal segment is important in determining the membrane topology of CD38 and that the type III orientation can be a functional form of CD38 for Ca(2)-signaling. PMID: 25447548
- The majority of extranodal NK/T cell lymphoma cases were CD38 positive, which significantly correlated with poor outcomes. PMID: 25865943
- High levels of CD38 reduced intracellular (NAD+) levels and blocked acquired resistance by inhibiting the activity of the NAD+-dependent SIRT1 deacetylase PMID: 24967705
- CD38 status was associated with behavior and psychological reactions within live interactions, as well as global relationship quality PMID: 24396004
- These results validate CD38 as a therapeutic target and support the current evaluation of this unique CD38-targeting functional antibody in phase I clinical trials in patients with CD38+ B-cell malignancies. PMID: 24987056
- At the same time, CD38 overexpression affected the expression of PI3K, Akt, MDM2 and p53 in vivo PMID: 25310288
- CD38 expression is regulated by micro-RNA 708 in airway smooth muscle cells. PMID: 25175907
- CD38 has a role in chronic lymphocytic leukemia growth and trafficking PMID: 24990614
- Chronic lymphocytic leukemia cells express CD38 in response to Th1 cell-derived IFN-gamma by a T-bet-dependent mechanism. PMID: 25505279
- Increased numbers of circulating ICOS(+) and IL-21(+) Tfh and CD38(+) plasma cells may be exhibited by patients with recent diagnoses of primary biliary cirrhosis. PMID: 25404409
- nominal associations were found between autism spectrum disorder scores and single-nucleotide polymorphisms in OXT, ARNT2 and CD38 PMID: 24635660
- Autism and features of regression-previously acquired speech lost in the second year of life. The younger sister, who also had asthma, inherited a maternal deletion of 4p15.32 that results in a BST1-CD38 fusion transcript. PMID: 24634087
- results demonstrate that CD38(+) cells are a useful model to study effects of the cellular NAD levels on cellular processes and establish a new linker between cellular NAD levels and oxidative stress PMID: 24295520
- only one SNP in CD38 was significantly associated with social integration and that SNP predicted when using a dichotomized indicator of social connectedness, but not a continuous measure of social connectedness or the continuously married outcome. PMID: 24209975
- Data suggest that the uniquely increased expression of CD38 and E2F2 in rheumatoid arthritis (RA) synovial tissues contribute to the immunoactivation of the disease. PMID: 24397353
- PBMC from MM patients display a deregulated response related to CD38 activation pathway defects; CD38 may be functionally involved in the progression of this pathology via the secretion of high levels of IL-6 that protects neoplastic cells from apoptosis PMID: 24489445
- These data suggest that both functional roles of CD38 might be important in the pathogenesis of B-CLL. PMID: 24216102
- Atorvastatin and rosiglitazone did not affect the expression of CD38. PMID: 23686733
- Data suggest CD38 (CD38 antigen (p45) protein) and CD49d (alpha4 Integrin; very late antigen-4 alpha) are more than just markers of an aggressive chronic lymphocytic leukemia (CLL) cell type and play functional roles in pathobiology of CLL. [REVIEW] PMID: 24288111
- CD38 is expressed within caveolae and its function is linked to the caveolar regulatory proteins. PMID: 24275509
- Report diagnosis of multiple myeloma using two-color flow cytometry based on kappa/lambda ratios of CD38-gated plasma cells. PMID: 23755763
- CD38-cADPR mediates bile acid-induced pancreatitis and acinar cell injury through aberrant intracellular Ca(2+) signaling. PMID: 23940051
- The frequency of CD38high antibody-secreting cells (ASCs) is increased during the acute phase of hepatitis A virus (HAV) infection. Substantial numbers of ASCs are non-HAV-specific and dominantly secrete IgM. PMID: 23729443
- Data show that ADP-ribosylation of CtBP1-S/BARS by brefeldin A (BFA) occurs via synthesis of a BFA-ADP-ribose conjugate by the ADP-ribosyl cyclase CD38 and covalent binding of the BFA-ADP-ribose conjugate into the CtBP1-S/BARS NAD(+)-binding pocket. PMID: 23716697
- CD38 signals upregulate expression and functions of matrix metalloproteinase-9 in chronic lymphocytic leukemia cells. PMID: 22955446
顯示更多
收起更多
-
亞細胞定位:Membrane; Single-pass type II membrane protein.
-
蛋白家族:ADP-ribosyl cyclase family
-
組織特異性:Expressed at high levels in pancreas, liver, kidney, brain, testis, ovary, placenta, malignant lymphoma and neuroblastoma.
-
數據庫鏈接:
Most popular with customers
-
YWHAB Recombinant Monoclonal Antibody
Applications: ELISA, WB, IHC, IF, FC
Species Reactivity: Human, Mouse, Rat
-
Phospho-YAP1 (S127) Recombinant Monoclonal Antibody
Applications: ELISA, WB, IHC
Species Reactivity: Human
-
-
-
-
-
-















